Sorry, you need to enable JavaScript to visit this website.
ہفتہ ، 20 دسمبر ، 2025 | Saturday , December   20, 2025
ہفتہ ، 20 دسمبر ، 2025 | Saturday , December   20, 2025

دھاتی اشیا نگلنے والے بچوں کے عجیب و غریب واقعات

دھاتی چیز نگلنے کا یقین ہونے پر بچے کا پیٹ نہ دبایا جائے (فوٹو: سبق نیوز)
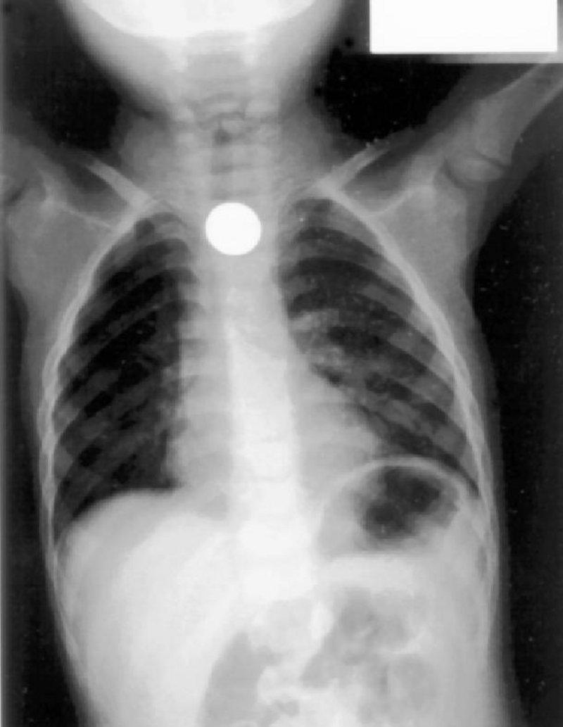
ریاض کے شاہ سعود میڈیکل سٹی کے شعبہ ہنگامی امداد برائے اطفال کے ڈائریکٹر ڈاکٹر فیصل الروقی کا کہنا ہے کہ کوئی ہسپتال ایسا نہ ہو گا جہاں ایسے بچوں کو نہ لایا گیا ہو جنہوں نے کوئی سکہ یا دھاتی چیز نہ نگلی ہو۔ ڈاکٹر فیصل الروقی کا کہنا ہے کہ گذشتہ برس ہسپتال کے شعبہ حادثات برائے اطفال میں ایسے 470 کیسز ریکارڈ کیے گئے جن میں سب سے خطرناک کیس ایک بچے کا تھا جس نے ڈبل اے سائز کا بیٹری سیل نگل لیا تھا۔

ڈاکٹرز کہتے ہیں کہ دھاتی چیز نگلنے پر بچے کو فوری طبی امداد مہیا کریں (فوٹو: سبق نیوز) 

ڈاکٹر الروقی نے عربی ویب نیوز ’سبق‘ سے گفتگو کرتے ہوئے کہا کہ ’ طب کے شعبے میں سب سے خطرناک اور مشکل حالات کا سامنا اس وقت کرنا پڑتا ہے جب کسی ایسے بچے کو لایا جاتا ہے جس نے کوئی غیر معمولی چیز نگل لی ہوتی ہے۔‘
’مختلف اشیا نگلنے والے بچوں کی عمر 6 ماہ سے 3 برس کے درمیان تھی۔ ایسے بچے جو مختلف دھاتی چیزیں نگل لیتے ہیں ان کے والدین کو چاہیے کہ وہ فوری طور پر ہنگامی امداد کے شعبے سے رجوع کریں تاکہ بروقت ان بچوں کو طبی امداد مہیا کی جا سکے۔‘
ڈاکٹرالروقی کا مزید کہنا تھا کہ ’ بعض بے پروا والدین کم سن بچوں کے پاس ایسی چیزیں چھوڑ دیتے ہیں جو ان کے لیے خطرناک ثابت ہوتی ہیں۔ والدین کو چاہیے کہ وہ بچوں کا خاص خیال رکھیں، اگرانہیں اس امرکا یقین ہو جائے کہ بچے نے کوئی معدنی چیز نگل لی ہے تو بچے کے پیٹ کو قطعی طور پر نہ دبائیں ایسا کرنے سے نگلی گئی دھاتی چیز جسم کے اندرونی نظام کو متاثر کر سکتی ہے جو بچے کے لیے نقصان دہ ثابت ہوتا ہے۔

بچوں کے بیٹری سیل نگلنے کا کیس کافی خطرناک ہوتا ہے (فوٹو: سبق نیوز) 

ڈاکٹر الروقی کا کہنا تھا کہ’ گذشتہ ایک برس کے دوران شاہ سعود میڈیکل سٹی میں عجیب و غریب کیسز لائے گئے جن میں بیٹری سیل اور سیفٹی پن کے علاوہ غبارے اور پلاسٹک کی تھیلی نگلنے کے واقعات نمایاں ہیں۔‘
ہسپتال میں لائے جانے والے کیسوں میں سب سے خطرناک سیفٹی پن کا ہوتا ہے اگر پن کھلی حالت میں ہو تو پن کی نوک بچے کے حلق یا اندرونی مقام میں کہیں پھنس جانے کا قوی امکان ہوتا ہے۔

شیئر: